記者鄭玉如/台北報導

根據2024年衛福部統計處十大死因統計,惡性腫瘤已連續43年位居國人死因之首,其中肺癌更是男、女性的「第一大癌症死因」。不過近年治療方式進步,不再只有化療、電療、標靶治療等,香港一名50歲男性確診第四期肺癌,決定來台接受自體免疫細胞治療,不只疼痛獲得緩解,生活品質也大幅提升。
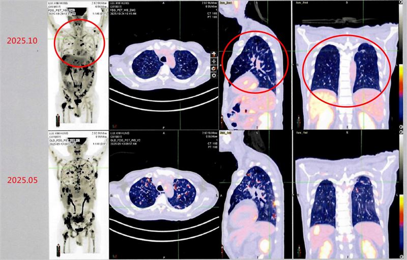
衛生福利部雙和醫院一名來自香港的50歲男性病患,2024年在香港被診斷出罹患第四期肺癌,歷經多次傳統化療與標靶治療後。為了尋求新的治療機會,他決定來台灣進行自體免疫細胞治療(DC-CIK),透過半年整合療程後,最新影像檢查顯示病情穩定,疼痛症狀明顯獲得緩解,體能與生活品質大幅提升。
該名患者接受治療後分享,「來台之前,我的體力幾乎耗盡,每天深受疼痛所苦,吃一堆止痛藥,但是仍然無法緩解我的疼痛,日常生活都非常困難。接受治療後,我的精神和體力恢復不少,感謝台灣醫療團隊的專業與用心。」
雙和醫院細胞治療暨基因檢測中心主任莊博雅醫師表示,DC-CIK免疫細胞治療透過抽取患者自體血液,分離出樹突細胞(DC)與細胞激素誘導殺手細胞(CIK),在無菌實驗室中進行培養與活化後,再回輸至患者體內,以強化免疫系統辨識並攻擊癌細胞的能力。
莊主任指出,「對於部分晚期癌症患者,DC-CIK治療雖非取代性療法,但能與傳統治療(如化療、標靶或放療)相輔相成,有助於提升免疫功能與整體生活品質。我們觀察到,許多接受治療的患者在臨床上都有生活品質改善與病情穩定的情況,顯示免疫細胞療法的潛力與價值。」
台灣再生醫學與細胞治療領域的技術及臨床應用不輸國際水準。院方強調,DC-CIK屬於個人化免疫治療,目前應由專業醫師根據個別病況評估後執行。患者若有意了解相關療程,應選擇具合法細胞治療許可的醫療機構,確保治療安全與品質。
