記者羅欣怡/新竹報導

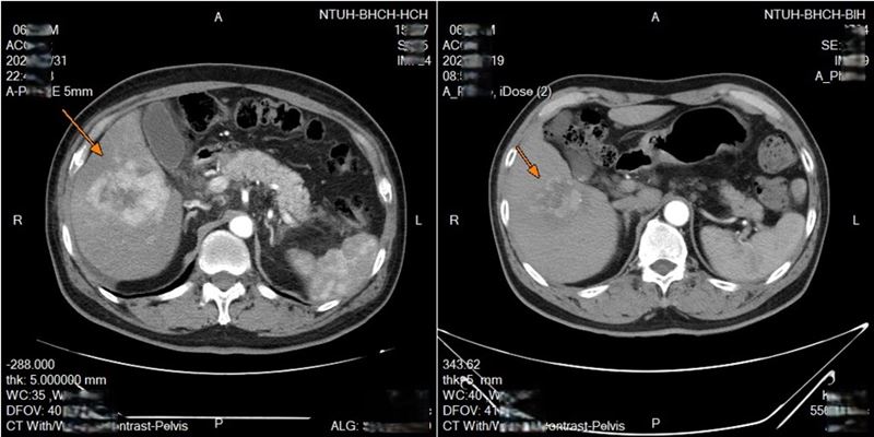
新竹63歲男性,原本罹患淋巴癌,在治療期間又意外發現肝腫瘤,確診肝癌。醫療團隊與病人討論後,採用「鎖骨下導管置放肝動脈灌注化療」技術,歷經兩次療程後,腫瘤明顯縮小,治療效果令人振奮。
肝癌長期名列國人癌症發生率與死亡率前幾名,慢性肝病、肝硬化更是十大死因之一。隨著早期篩檢普及,不少患者能在初期接受手術或射頻燒灼治療,但仍有部分病人因居住偏遠或錯過黃金治療期,只能選擇中晚期療法,挑戰更高。
新竹臺大分院影像醫學部游加樂醫師指出,「肝動脈內灌注化療(HAIC)」近年在台灣逐漸受到重視,成為無法接受手術或傳統栓塞術的中晚期肝癌病人新選項。
游加樂醫師說,HAIC的原理是透過導管,將化療藥物直接送入肝動脈,讓藥物高濃度集中在腫瘤細胞內,比全身性化療更具殺傷力,同時副作用也大幅降低。「藥效集中在肝臟,病人的不適感與併發症都明顯減少。」
不過,傳統HAIC需從鼠蹊部插管,導管長期留置容易導致堵塞、感染或移位,甚至限制病人活動。為解決這些困擾,新竹臺大分院引進「鎖骨下導管置放技術」,改從左鎖骨下動脈放置導管,每次治療後可立即移除,降低血管阻塞風險,也讓病人活動更自由、復原更快。
這項技術的靈活性更高,每次治療後可重新調整導管位置,若發生堵塞或移位,醫師可立即處理,提升療效並減少併發症。臨床上,許多病人經治療後腫瘤明顯縮小,部分甚至消失,顯示技術潛力十足。
游加樂醫師強調,HAIC並非單一解方,仍須與肝動脈栓塞術、免疫藥物等治療並行,才能達到最佳控制效果。是否適合進行該治療,仍需專業醫師完整評估。
隨著醫療技術精進,「鎖骨下導管肝動脈灌注化療」為中晚期肝癌病人帶來新希望,不僅提升治療成效,也兼顧生活品質,為無法手術的患者開啟更多生存契機。
