記者潘靚緯/台中報導

台中一名44歲張姓女子,因發生車禍送醫,安排腹部電腦斷層檢查,竟意外發現直腸後方有一顆約10公分大的腫瘤,經轉介追蹤後確認是直腸後腫瘤「尾腸囊腫」。由於擔心惡化風險,醫師評估後建議採用達文西手術切除,不僅完整切除腫瘤,同時也保留直腸,大幅降低排尿、排便或性功能影響,讓女子直呼因禍得福。
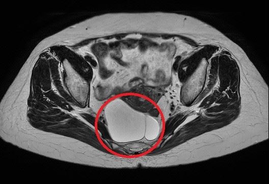
亞洲大學附屬醫院大腸直腸外科主治醫師傅軍毓表示,張女自述過去數十年來身體都沒有任何異狀,直到日前因車禍擦撞送醫,急診醫師安排腹部電腦斷層掃描才發現異狀,趕緊轉診到大腸直腸外科,再安排大腸鏡及核磁共振攝影,確認該腫瘤為「尾腸囊腫」(Tailgut cyst)約10公分大,已跟直腸壁緊貼,讓她看了驚呼「沒想到肚子裡有『拍咪ㄚ』。」。


傅軍毓醫師指出,「尾腸囊腫」屬於罕見先天性病灶,好發於中年女性,通常位在直腸與薦骨之間,多數患者沒有明顯或特殊症狀,一旦體積變大,可能壓迫周邊器官,雖然腫瘤多數以良性居多,但少數體積太大的腫瘤會出現惡性變化,因此多建議及早手術切除。
傅軍毓強調,骨盆腔內空間狹小、構造複雜,且周圍分布著重要的神經、血管與泌尿生殖器官,手術難度極高,為了將腫瘤從直腸後方剝離下來且不傷及直腸,並避免手術中腫瘤意外破裂,導致腹內腫瘤細胞擴散,醫療團隊評估後決定採用達文西機器手臂系統進行微創手術。
手術過程中,醫師透過高解析度3D立體影像清楚辨識組織層次,對腫瘤邊界或神經結構的辨識更為精準,而機械手臂可近360度靈活旋轉,模擬人類手腕動作,在狹小空間內精準剝離腫瘤,大幅加強穩定度與精準度,完成精細縫合與解剖,顯著降低出血量並縮短手術時間。全程僅在腹部留下4個小洞傷口,手術時間約2小時即順利完成,不僅成功摘除腫瘤,也保留直腸完整功能。
傅軍毓強調,機器手臂在直腸癌、前列腺癌及婦科腫瘤等骨盆腔手術中優勢明顯,能降低出血量、減少疼痛並縮短恢復期,對排尿、排便或性功能的影響也會相對減少,具有傷口小、疼痛較輕、恢復較快等優點。不過他也提醒,醫療手術科技日新月異,任何術式都有利弊,患者應與醫療團隊充分討論,選擇最適合自身狀況的治療方式。
