記者鄭玉如/台北報導

一名14歲學生日前在課堂中突然倒地,伴隨怪聲、右側肢體癱軟等症狀,被緊急送往聯新國際醫院,為迅速釐清病因,急診團隊緊急安排檢查,確定為左側中大腦動脈栓塞造成缺血性腦中風,左心房還有近7公分的巨大黏液瘤,情況相當危險,所幸經治療後,並未留下後遺症。
14歲學生在課堂中突然倒地,不只發出怪聲,還伴隨右側肢體癱軟、語言表達困難等症狀,被緊急送往聯新國際醫院急診室,考慮到患者年紀輕,因中風導致半側癱瘓的可能性極低,起初懷疑是腦部不正常放電造成暫時性癲癇(抽筋)所致,隨即進行電腦斷層(CT)與磁振造影(MRI)等影像檢查,以免錯失黃金治療時機。

檢查結果出爐後,神經內科李振華醫師迅速判讀,確定為左側中大腦動脈栓塞造成缺血性腦中風。與家屬充分溝通後,影像醫學科主任暨取栓醫師郭葉璘隨即與團隊進行急性腦中風顱內動脈血栓移除,並從腹股溝導引導管至左側中大腦動脈阻塞處,採用強力抽吸方式清除血栓。手術從開始到打通血管僅約10分鐘,成功取出4個血栓,最大達1.1公分。
進行心臟超音波檢查,更發現左心房有近7公分的巨大黏液瘤,顯示病情危急。心臟黏液瘤是一種非癌性腫瘤,質地柔軟如果凍,雖不會轉移,但在心臟持續跳動和血流衝擊下,腫瘤的小碎片容易剝落,其會隨著血液離開心臟,進入腦部動脈後可能引發栓塞,造成中風。後續完成心臟黏液瘤清除手術,患者恢復良好,並未留下後遺症,已重返校園。

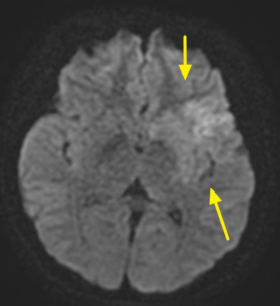
郭葉璘說明,左側大腦掌管語言中樞、身體右側活動能力及視覺與空間感知區域,中大腦動脈是負責供應大腦3分之2的重要血流。磁振造影中的擴散權重影像序列(DWI),能在中風發生後30分鐘內偵測腦部受損區域。檢查顯示該學生的左側中大腦動脈完全阻塞,磁振中的擴散權重影像序列也出現一塊淡淡的受損區域,表示阻塞的危險性正快速提高中。若不即時處理,這片受損區域會持續擴大,腦部將因血栓壓迫而腫脹,同時往下壓迫腦幹,危及呼吸與心跳中樞,甚至造成生命危險。

而急性腦中風的治療關鍵就是「時間」,研究顯示,中風每延誤1分鐘,約有190萬個神經元死亡,因此治療啟動的速度,是影響患者日後能否恢復獨立生活的關鍵因素。
郭葉璘提醒,中風好發於氣溫驟降,身心壓力增大且血管收縮易形成血栓,民眾應建立健康基礎,包括均衡飲食、規律運動與充足睡眠,讓身體能更好地適應環境壓力。特別是有心血管疾病或心房顫動病史者,更應提高警覺。預防絕對勝於治療,唯有從日常生活中養成良好習慣,才能真正遠離中風威脅。
